Ерозія шийки матки - дефект багатошарового плоского епітелію, що покриває вагінальну частину шийки матки.
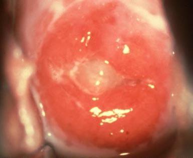
![]() Ерозія шийки матки при цервіциті |
Найчастіше ерозія виникають в результаті запальних захворювань шийки матки (див. Цервіцит), рідше внаслідок кольпіту (див.). Під впливом мацерирующего дії белей на шийці матки виникає дефект епітелію (справжня ерозія). Така ерозія зазвичай існує не більше 1-2 тижнів. Незабаром цей дефект починає покриватися високим призматичним епітелієм (несправжня ерозія, або псевдоерозія). Несправжню ерозію, має бархатисту нерівну поверхню з сосочковими розростаннями, називають папиллярной. При зростанні високого призматичного епітелію в глиб шийки матки утворюються мешотчатоподобные освіти епітелію (фолікулярна ерозія). Частіше спостерігається змішаний тип несправжньої ерозії.
Для будь-якого виду несправжньої ерозії характерне утворення в товщі мускулатури шийки матки так званих ерозійних залоз, які виділяють в'язкий слизовий секрет. Секрет виділяється на поверхні ерозії, призводить до виразки эпителизированной поверхні, що в свою чергу супроводжується новими процесами наростання високого призматичного епітелію. Цей патологічний процес лежить в основі частих рецидивів несправжньої ерозії. Псевдоерозія може існувати протягом багатьох місяців і навіть років.
Іноді високий призматичний епітелій, що покриває поверхню несправжньої ерозії, починає витіснятися багатошаровим плоским епітелієм, розташованим навколо ерозований поверхні. Розмножуючись, цей епітелій наростає на гирла ерозійних залоз, але не може проникнути в самі залози через безперервно виділяється секрету. Так утворюються ретенційні кісти (наботовы кісти). Існування наботовых кіст призводить до рецидиву захворювання внаслідок злущування багатошарового плоского епітелію. Лише в окремих випадках багатошаровий плоский епітелій вростає в самі залози (повна епітелізація ерозія).
Симптоми і течія. Хворі з ерозією зазвичай скаржаться на білі слизово-гнійного характеру. Білі є наслідком цервіціта або кольпіту. У разі відсутності белей захворювання протікає безсимптомно. При огляді шийки матки в дзеркалах справжню ерозію не можна відрізнити від удаваної. Обидві ерозії мають вигляд яскраво-червоної плями, розташованого навколо зовнішнього маточного зіва або на передній або задній губі шийки матки. На тлі ерозований поверхні часто видно наботовы кісти - округлі утворення жовтуватого кольору різної величини.
При загоєнні псевдоерозії спостерігається збліднення її поверхні за рахунок розмноження багатошарового плоского епітелію. Довгостроково існуючі, легко кровоточать і рецидивуючі ерозії шийки матки слід розглядати як передпухлинний стан. Таких хворих слід негайно направляти до лікаря-гінеколога, онколога для відповідного обстеження та лікування.
При діагностиці ерозії використовують інструментальні методи дослідження (див. Кольпоскопія), цитологічні методи дослідження (див. Цитологічна діагностика) і біопсію (див.) шийки матки. Ерозію шийки матки слід диференціювати з раком шийки матки, сифілітичної і туберкульозної виразками.
Лікування ерозії шийки матки тісно пов'язане з терапією основного захворювання. Місцево застосовують тампони з синтоміциновою емульсією. Тампони вводять у піхву на одну добу. Якщо консервативна терапія протягом найближчих 6-8 тижнів не дає ефекту або виникають рецидиви захворювання показана діатермокоагуляція або хірургічне лікування ерозії шийки матки з попередньою біопсією.
Ерозія шийки матки (erosio colli uteri). При стенании запального секрету відбувається мацерація епітелію піхвової частини шийки матки (справжня ерозія). Через 1-2 тижні починається процес загоєння, що протікає в двох фазах. У першій фазі поверхню ерозії покривається циліндричним епітелієм (несправжня ерозія). Ділянка ерозії набуває яскраво-червоний колір. Несправжня ерозія шийки матки, що спостерігається частіше, триває тривалий термін (підтримується запальним процесом в шийці матки). При другій фазі загоєння клітини плоского покривного епітелію піхви поступово покривають поверхню ерозії, циліндричний епітелій поступово відривається, ерозія блідне і наближається до звичайного кольору зовнішнього зіву шийки матки.
Несправжню ерозію, має бархатисту нерівну поверхню з сосочковими розростаннями, називають папиллярной. При вростання циліндричного епітелію вглиб утворюються мешотчатоподобные включення (фолікулярна ерозія). Частіше спостерігається змішаний тип несправжньої ерозії.
Несправжня ерозія часто рецидивує у результаті довгостроково гніздувальною інфекції в тканинах шийки матки. Крім найбільш часто зустрічаються ерозіях запального походження, іноді спостерігається вроджена ерозія у новонароджених, морфологічно подібна до помилкової запальної ерозії.
В деяких випадках поряд з запаленням мають значення і гормональні чинники. Про це свідчать ерозії шийки матки, що виникають при вагітності і, як правило, зникають після пологів.
Під час вагітності морфологічно ерозія може нагадувати початкову стадію бластоматозного процесу, тому при взятті біопсії в період вагітності необхідно попереджати патологоанатома про наявний фізіологічному стані.
Клінічна картина і діагностика. У гострій фазі ерозії мають місце в основному локальні зміни в зовнішньому зіві і тканинах шийки матки (якщо процес не залучені тіло матки, придатків, околоматочная клітковина і ділянки тазової очеревини). На яскраво-червоній поверхні зовнішнього зіву шийки матки є рясні виділення слизисто-гнійного характеру з різноманітною мікробною флорою.
У хронічній фазі виділення зменшуються, стають слизовими, поверхню ерозії блідне і приймає рожевий колір.
Діагноз ерозії ставлять на підставі огляду шийки матки, пальпації поверхні ерозії і бактеріоскопічного дослідження виділень. Для етіологічної діагностики ерозії, зокрема, для диференціальної діагностики преинвазивной стадії раку шийки матки, необхідні більш складні методи - цитологічна діагностика відбитків поверхні ерозії, біопсія та ін (див. Матка, рак шийки матки, запальні захворювання).
Лікування ерозії шийки матки у гострій стадії зводиться в основному до спокою. Антибіотики і сульфаніламідні препарати показані при ерозії гонорейного походження (див. Гонорея) або при наявності запалення матки і придатків. Для очищення поверхні ерозії і піхви від стікають виділень призначають спринцювання піхви під низьким тиском розчином борної кислоти (1 столову ложку на 1 л води), лізоформ (1 чайну ложку на 1 л води), фурациліну (1:10 000) та ін Всякі інші маніпуляції на шийці матки протипоказані. У хронічній стадії ерозії головну увагу слід приділити лікуванню запалення шийки матки - джерела ерозії. Спринцювання піхви, ванночки, вагінальні тампони з різними лікувальними речовинами, як правило, дають тимчасовий успіх. Поряд з лікуванням шийки матки, зокрема її каналу, поверхню ерозії обробляють индифферентными речовинами (риб'ячий жир, вазелінову олію та ін). Змазування ерозії прижигающими речовинами, особливо часте і тривале, нераціонально.
Застосовують також введення аутокрові в шийку матки (Е. І. Кватера), грязьові тампони; в курортних умовах (Мацеста та ін) виробляють сірководневі зрошення.
При неуспіх консервативного лікування протягом 6-8 тижнів або при повторних рецидивах показана діатермокоагуляція або конізація шийки матки з попередньою біопсією.

