Паратиреоидная остеодистрофія (синонім: хвороба Реклінгаузена, хвороба Енгеля-Реклінгаузена, генералізована остеодистрофія, генералізована фіброзна кистовидная остеодистрофія, фіброзна остеодистрофія генералізована, фіброзний остеїт, первинний гіперпаратиреоз) - захворювання ендокринного походження, що виникає в результаті розвитку пухлини околощитовидной залози і супроводжується надлишковим утворенням її гормону.
Етіологія та патогенез. Паратиреоидная остеодистрофія відома як кісткове захворювання понад 100 років. Це захворювання нерідко описувалося як остеомаляція, кістозна дегенерація скелета, кісткова атрофія, а в деяких спостереженнях і як хвороба Педжета. Виходячи із запального характеру захворювання, Реклингаузен (F. Recklinghausen) назвав його фіброзним оститом (ostitis fibrosa). Лише в подальшому з'ясувався не запальний, а дистрофічний характер процесу і термін «фіброзний остеїт» був замінений терміном «фіброзна остеодистрофія».
Велика кількість синонімів паратиреоидной остеодистрофії, значна частина яких в даний час застаріла, відображає еволюцію поступово складаються правильних уявлень про це захворювання. Припущення про первинний характер пухлинного процесу в околощитовидной залози (див.) і вторинному характері кісткових змін при цьому захворюванні вперше висловив Шлагенхауфер (F. Schlagenhaufer). Лише в 1924 р. А. В. Русаков патологоанатомічними дослідженнями обґрунтував ендокринний характер цього різновиду остеодистрофії (див.) і запропонував називати її паратиреоидной остеодистрофії, а Мандль (F. Mandl, 1926), видаливши пухлина околощитовидной залози при цьому захворюванні, домігся клінічного вилікування.
Труднощі отримання експериментальної моделі паратиреоидной остеодистрофії введенням в кров тварин паратгормону, що викликає у них картину, схожу з хворобою Реклінгаузена, але не цілком ідентичну з нею, дали підставу вважати, що в основі патогенезу паратиреоидной остеодистрофії, крім надлишку паратгормону, є й інші, поки ще не вивчені фактори. Безперечно встановлено, що первинно виникає аденома, рідше рак околощитовидной залози, а наступні остеодистрофические зміни, пов'язані в основному з порушеннями мінерального обміну, розвиваються вдруге у зв'язку з гормональною активністю пухлини, хірургічне видалення якої може призвести до клінічного одужання.
П. о. вражає переважно жінок (приблизно в 3 рази частіше, ніж чоловіків). Зазвичай клінічні прояви хвороби спостерігаються у віці 30-40 років і лише іноді зустрічаються у більш молодих або літніх людей.
Патологічна анатомія. Пухлина зазвичай розвивається в одній з паращитовидних залоз, нерідко (до 25%) має атипову локалізацію - за грудиною, в передньому, задньому середостінні, в товщі щитовидної залози, позаду стравоходу, трахеї, тобто в місцях, відповідних зоні розташування прищитовидних залоз в ході ембріогенезу. Цей факт розцінюється як доказ дизонтогенетического походження пухлини.
Пухлини околощитовидной залози зазвичай мають форму чітко відокремленого вузла вагою від 0,1 до 10 м і більше. Мікроскопічно пухлина характеризується частіше переважанням клітин, що нагадують головні темні дрібні або великі клітини нормальної залози, рідше наявністю клітин типу світлих або оксифильных. Часто клітини пухлини не вдається віднести до того чи іншого типу нормальних клітин залози, що дуже важливо для відмінності пухлини її від гіперпластичних процесів. Залежно від клітинного складу гормональна активність аденом різна, внаслідок чого і клініко-анатомічні прояви захворювання неоднакові - від бурхливо прогресуючих форм до повільно поточних з мінімальними проявами.
Під впливом гормону, що виділяється клітинами пухлини, різко посилюється внутрішньокістковий метаболізм, в результаті чого відбувається перебудова кісток. Тому в морфологічній картині хвороби на перший план виступають ураження скелета.
Макроскопічно кістки можуть виглядати незміненими, що характерно для мало гормональноактивной пухлини або для початкової фази захворювання, в інших випадках відзначається деформація скелета, особливо кісток, відчувають більшу механічну навантаження,кісток кінцівок, таза, хребта, ребер. Іноді, крім деформації механічного походження, в кістках розвиваються своєрідні множинні пухлиноподібні утворення.
![]() Рис. 1. Остеокластическое розсмоктування компактного шару кістки. |
![]() Рис. 2. Розрісся эндост між примітивними кістковими балками. |
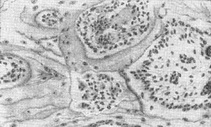
При мікроскопічному дослідженні наголошується перебудова кісткової тканини, що виражається в масивній остеокластичної резорбції кісткової речовини (рис. 1) в одних ділянках і новоутворенні його в інших. Найбільш активно ці процеси виражені в эндостальных відділах кісток, де відбувається розростання ендосту і освіта клітинно-волокнистої тканини, що заповнює кістковомозкові простору і нагадує фіброзну тканину. Ця тканина являє собою розрісся эндост і є остеогенної. У ній формуються комплекси нових кісткових балок (рис. 2). Останні в свою чергу також піддаються резорбції і замінюються новими, причому у зв'язку з бурхливими темпами процесу новоутворена кістка отримує примітивне будова, іноді вона не обызвествляется і тоді остеоидные балки і остеоидные зони виникають навколо старих балок.
![]() Рис. 1. Плечова кістка з гігантоклітинної пухлини і кістою. |
Пухлиноподібні утворення в кістках (цветн. рис. 1) виникають разом з дифузною їх перебудовою. Макро - і мікроскопічно вони ідентичні гігантоклітинної пухлини - остеобластокластоме (див. Кісткова тканина). Вони утворюються в результаті різкої інтенсифікації костеобразовательного процесу і будучи реактивними структурами зникають після видалення пухлини околощитовидной залози так само, як і інші прояви захворювання.
У процесі перебудови кісток звільняється велика кількість солей кальцію. Ці солі частково випадають в кістках у формі зернистих опадів, частково надходять у кров, будучи причиною так званих вапняних метастазів (див. Кальциноз). Вапняні солі, виділяючись з сечею, можуть призвести до утворення каменів у нирках, а також до выделительному нефрозу з подальшим сморщиванием нирок. У деяких випадках ураження внутрішніх органів може домінувати в картині хвороби, а ураження кісткової системи відступає на другий план (так звані вісцеральні форми паратиреоидной остеодистрофії).
Перебіг і симптоми. У відносно ранніх стадіях паратиреоидной остеодистрофії хворі скаржаться на глухі невизначені болі в кістках, зазвичай пов'язані зі зміною погоди, загальну м'язову слабкість, підвищену стомлюваність, головні болі. Відзначаються також втрата апетиту, нудота (рідко-блювання), біль у животі супроводжується кишковими розладами (частіше наполегливі проноси). Майже постійно хворі відчувають підвищену спрагу, у зв'язку з чим відзначається поліурія. Іноді на перший план з самого початку захворювання виступають симптоми сечокам'яної хвороби. У цих випадках рентгенологічне дослідження встановлює наявність нефролітіазу, як правило, двостороннього.
Часто самі хворі виявляють різного роду деформації: потовщення, горбистості, головним чином в області метафизов довгих трубчастих кісток, або викривлення, наприклад верхньої третини стегна, що приводить до вкорочення кінцівки і кульгавості. Нерідко горбистості можуть виявлятися на черепі. Ураження черепа і лицьових кісток призводить до асиметрії особи. Іноді хвороба починається з эпулиса (див.) нижньої або верхньої щелепи, що змушує хворого звернутися за допомогою до стоматолога.
Зустрічаються випадки, коли клінічний прояв паратиреоидной остеодистрофії починається з патологічного перелому (стегна, гомілки, верхніх кінцівок, ребер), що виникає від порівняно незначної травми. Перелом, як правило, зростається (зазвичай зі зміщенням) і при недостатньо кваліфікованому рентгенологічному дослідженні може бути розцінений не як патологічний, а як звичайний травматичний перелом. В анамнезі може бути і кілька переломів. Якщо в початкових стадіях захворювання переломи болючі, то в подальшому патологічні переломи можуть виникати непомітно і протікати майже безболісно. В результаті деформації хребта можуть виникати здавлення корінців спинного мозку і як наслідок здавлення - болю, парези і паралічі. Відкладення солей вапна в барабанній перетинці чи поразка піраміди скроневої кістки може призвести до порушення слуху. Іноді виявляються порушення зору у зв'язку з атрофією зорового нерва і склеротичними змінами на очному дні.
У зв'язку з негативним балансом кальцію і фосфору, посилено мобілізованих з кісткових депо і виводяться з організму в основному нирками, частково через слизову оболонку товстого кишечника, при лабораторному дослідженні сечі відзначаються гіперкальціурія і гиперфосфатурия. Поряд з цим у крові при біохімічному дослідженні визначається гіперкальціємія. Вміст кальцію в сироватці крові замість нормальних 9-13 мг% підвищується до 15-17 мг%. Вміст фосфору в сироватці крові, навпаки, знижується замість нормальних 3-4 мг% до 1,5-2 мг%. Ці лабораторні та біохімічні показники не залежать від кількості солей, що вводяться в організм з їжею, і мають велике діагностичне значення.
За винятком рідкісних випадків бурхливого перебігу паратиреоидной остеодистрофії, що супроводжуються масовим надходженням в кров паратгормону і закінчуються летально, до того як вони встигнуть розвинутися виражені кісткові зміни, клінічна картина гіперпаратиреозу зазвичай розвивається повільно, протягом багатьох років, а кісткові зміни обмежуються спочатку загальним (системним) остеопорозом.
У перебігу хвороби можливі ремісії, що супроводжуються поліпшенням загального самопочуття, зменшенням болю, тимчасовим відновленням сили і працездатності та нормалізацією складу сечі і крові. Однак після деякого часу хвороба, як правило, знову неухильно прогресує, розвиваються характерні дистрофічні кістозні зміни в кістках, різко посилюються болі в ногах, в області тазу і хребта, наростає м'язова слабкість, з'являються помірно виражене вторинне недокрів'я, тахікардія, серцева слабкість. Прогресуюче погіршення загального стану хворих призводить до інвалідності, приковує їх до ліжка і при відсутності радикального хірургічного лікування хворі гинуть при явищах кахексії і маразму. Випадків самолікування при цьому захворюванні не описано. Є вказівки на початок і підгострий розвиток хвороби і помітне погіршення її перебігу у зв'язку з вагітністю, пологами і годуванням.
Діагноз. Розпізнавання паратиреоидной остеодистрофії засноване на даних клінічних, лабораторно-біохімічних та рентгенологічних досліджень, з яких кожна сама по собі на різних стадіях захворювання може не мати вирішального значення і лише їх сукупність в процесі динамічного спостереження забезпечує правильний діагноз.
Виявити збільшену околощитовидную залозу обмацуванням шиї вдається рідко. Не менші труднощі представляє розпізнавання аденоми околощитовидной залози при рентгенологічному дослідженні верхнього відділу переднього середостіння з контрастуванням стравоходу сірчанокислим барієм або артериографией залози. Важливе значення мають зазначені вище зміни сечі, яка в періоди загострення може бути настільки насичена вапном, що стає схожою на молоко, а також біохімічні зрушення в сироватці крові (гіперкальціємія і гіпофосфатемія).
Дані рентгенологічного дослідження мають вирішальне значення тільки в яскраво виражених випадках паратиреоидной остеодистрофії, що супроводжуються перебудовою і характерною деформацією кісток. В інших випадках достовірні рентгенологічні дані або відсутні зовсім, або настільки мізерні і непереконливі, що правильне рентгенологічне розпізнавання стає щасливою випадковістю. Слід взяти за правило необхідність контрольного дослідження всього скелета при виявленні ізольованою кісткової кісти або при підозрі на патологічний характер перелому. Відсутність або недостатність рентгенологічних ознак, що вказують на наявність паратиреоидной остеодистрофії, не дає підстави для її виключення.
Посилене виділення з організму мінеральних солей у зв'язку з гіперпаратиреозом характеризується рентгенологічно спочатку рівномірно зернистим остеопорозом, особливо чітко выявляющимся в кістках склепіння черепа і таза. Надалі відбувається подовжнє розшарування коркової речовини, переважно трубчастих кісток, і кістозна перебудова кісткового скелета, особливо тазу, стегна та інших трубчастих кісток. Численні, поступово збільшуються в розмірах, експансивно зростаючі кісти тиснуть на кіркова речовина, стоншують його, розпирають і деформують кістка.
Нерідко, крім веретеноподібних деформацій, виникають деформації статичного характеру, чому сприяє знижена міцність кісток. В результаті подібного роду деформацій відбувається дугоподібне викривлення трубчастих кісток, а вхід у малий таз звужується настільки, що може прийняти вигляд так званого карткового серця (рис. 3). Особливо характерна деформація стегна, приймає вигляд так званої пастушої палиці (рис. 4), і деформація ребер, додає грудній клітці зовнішню схожість з формою дзвони.
![]() Рис. 3. Деформація таза при паратиреоидной остеодистрофії; звуження входу в малий таз у вигляді «карткового серця». Рис. 4. (праворуч) Характерна картина деформації стегнової кістки у вигляді «пастушої палиці» при паратиреоидной остеодистрофії. |
![]() |
Диференціальний діагноз. Перш за все необхідно виключити інші види остеодистрофії, зокрема хвороба Педжета (див. Остоз деформуючий), вражаючу частіше чоловіків. Однак при цій хворобі зазначається інша клінічна картина, а значні обезображивающие деформації скелета супроводжуються ущільненням уражених кісток без настільки характерно вираженого розволокнення і витончення коркового шару кістки, як при паратиреоидной остеодистрофії. На відміну від ізольованої кісткової кісти, що нагадує кістозні зміни при П. о., остання має генералізований характер.
Оскільки першим рентгенологічним ознакою паратиреоидной остеодистрофії є системний остеопороз (див.), необхідно відрізняти її від інших видів системного остеопорозу, зокрема старечого.
При остеомаляції (див.), яка так само, як і П. о., вражає переважно жінок і супроводжується спочатку ниючими тупими болями в кістках і системним остеопорозом, на відміну від паратиреоидной остеодистрофії, відсутні характерні зміни в сироватці крові (гіперкальціємія, гіпофосфатемія) і, незважаючи на системний характер остеопорозу, зазначається виборча локалізація уражень скелета в залежності від тієї чи іншої форми остеомаляції (пуэрперальная, стареча, спеціаліст). У більш виражених випадках того й іншого захворювання, що супроводжуються значними деформаціями кісток, розпізнавання П. о. відрізняється тим, що гроновидні зміни і потовщення кісток при остеомаляції відсутні, а спостережувані зони перебудови Лоозера при П. о. (рис. 5) виражені менше, ніж при остеомаляції.
Слід також виключити мієломну хворобу (див.), відрізняється більш гострим і злоякісним перебігом. Множинні характерні дірчасті дефекти кісток при мієломної хвороби не супроводжуються їх перебудовою і деформацією. Відзначається протеїнурія - позитивна реакція Бенс-Джонса (див. Бенс-Джонса білок) - при відсутності гіперкальціємії та гіпофосфатемії.
![]() Рис. 5. Зони перебудови Лоозера в ліктьової кістки при паратиреоидной остеодистрофії. |
![]() Рис. 6. Деформація великогомілкової кістки, що залишилася після успішної паратиреоидэктомии. |
Диференціації паратиреоидной остеодистрофії від множинних метастазів раку молочної залози, легенів, щитовидної та передміхурової залоз сприяють анамнестичні дані і виявлена первинна пухлина. Первинна остеогенна саркома відрізняється характерними деструктивними змінами ураженої кістки, типовою реакцією з боку окістя, відсутньою при П. о., локальним характером ураження без типових біохімічних зрушень в мінеральному балансі.
Прогноз при паратиреоидной остеодистрофії залежить від своєчасного хірургічного лікування. Видалення аденоми околощитовидной залози приводить до припинення патологічного процесу і відновлення працездатності. З часом кісткова структура відновлюється, але деформація уражених кісток залишається (рис. 6).
Лікування хірургічне - видалення аденоми ураженої околощитовидной залози. Консервативне лікування неефективне. При рецидивах після недостатньо повного видалення аденоми показана променева терапія.







