Патогістологічні зміни слизової уретри: при трихомонадних уретритах майже нічим не відрізняються від таких у хворих гонореєю і негонорейными бактеріальними уретритами. В патологічній картині трихомонадного процесу найбільший інтерес представляють ті запальні явища, які виникають в області первинної фіксації паразита.
Самою звичайною формою реакції тканини на впровадження збудника є инфильтративное запалення. У чоловіків цей процес спостерігається зазвичай у передній частині уретри, але іноді може поширитися і на задню її частину. Перехід запального процесу на задню частину уретри характеризує лише найбільш важкі форми ураження. Н. С. Ляховицкий і В. М. Порудоминский (1958) при дослідженні біопсірованной; шматочків слизової уретри хворих на трихомоноз встановили наявність круглоклітинна інфільтрація; у деяких вони відзначали фибробластическое перетворення клітин інфільтрату. Автори вказують, що запальні зміни уретри при трихомонадних уретритах розвиваються як у покривному епітелії, так і в стромі. Зміни в епітелії в основному зводяться до процесів дегенерації і десквамації, до проліферації і метаплазії з перетворенням циліндричного епітелію в багатошаровий плоский. Зазвичай при наростанні ексудативних явищ епітелій розпушується; складові його клітки часто зазнають дегенеративні зміни. У виділеннях уретри доводиться часто спостерігати, крім лейкоцитів, значна кількість і епітеліальних клітин.
Зміни в субэпителиальной тканини зазвичай простягаються на різну глибину і бувають різної інтенсивності. Вони зводяться до гіперемії, набряку та утворення запального інфільтрату, що складається переважно з лімфоїдних елементів, гістіоцитів, плазматичних клітин з домішкою лейкоцитів. Особливо густо інфільтрат розташовується навколо судин і лімфатичних щілин.
Вивчаючи гістологічні препарати від хворих негонококковыми, в тому числі і трихомонадными уретритами, Н. С. Ляховицкий і В. М. Порудоминский (1958) відзначали, що морфологічна реакція у всіх була однотипна, незалежно від того, яким збудником (трихомонадами, бактеріями) вона викликана. Автори вказують на проникнення піхвових трихомонад в литтреевые залози і крипти і утворення навколо них запального інфільтрату, що складається з тих же клітинних елементів. У ряді препаратів вони спостерігали невеликих розмірів псевдоабсцессы. Виникнення їх пов'язано з тим, що яке утворюється в залозі гній не має виходу тому, що: гирлі вивідної протоки литтреевой залози здавлена або запальним інфільтратом, або гнійною пробкою.
При дослідженні уретри у разі затяжного тріхомоноза вони виявляли склеротичні зміни строми з явищами гіалінозу. Процес організації нерассосавшегося запального інфільтрату може викликати звуження просвіту судин розрослася сполучною тканиною. У ряду хворих спостерігалися така організація запального інфільтрату призводила до формування стриктури уретри.
В. Б. Вейнеров і Л. М. Рожинский (1961) вказують, що основні елементи ураження стінки уретри при трихомонадних уретритах зводяться до запального дифузному мелкоклеточному инфильтрату «подэпителиального шару з проліферацією епітелію, а також до розширення і кровонаповненню судин.
Запальний інфільтрат складається переважно з лімфоїдних клітин і фібробластів. При дослідженні біопсірованной шматочків, отриманих у вільних гострим трихомонадным уретритом до лікування, автори відзначали відсутність епітеліального шару, а в товщі набряково розпушеному слизової - невеликі клітинні зміни.
Б. Ф. Печерський (1954) описав патогістологічну картину хронічного епідидиміту. При гістологічному дослідженні придатка в найбільш уражених ділянках був місцями рясний дифузний інфільтрат, волокниста тканина і канальці придатка були зруйновані. В інфільтраті переважають лімфоїдні елементи і плазматичні клітини. У менш уражених ділянках відзначався вогнищевий інтерстиціальний інфільтрат, багатий плазматичними клітинами, подекуди з домішкою поліморфноядерних лейкоцитів. Епітелій канальців більшою чи меншою мірою був пронизаний лейкоцитами, а на окремих ділянках зруйновано. У просвіті канальців перебували лейкоцити і епітеліальні клітини.
Нами також вивчалися патогістологічні зміни у хворих на трихомоноз чоловіків. Наводимо витяги з деяких історій хвороби і вироблених нами патогістологічних досліджень слизової уретри при трихомоноз.
Хворий А., 24 років, неодружений. Статеве життя з 20 років. Захворювання сечостатевих органів у минулому заперечує. Поступив в стаціонар зі скаргами на виділення з уретри і печіння при сечовипусканні. Захворів через 5 днів після статевого зносини з незнайомою жінкою. Хворим себе вважає 4 дні. Об'єктивно: губки зовнішнього отвору сечовипускального каналу набряклі і гипереміровані. З уретри вільно стікають рясні гнійні виділення. Сеча в першій порції каламутна, у другій - прозора. Придатки яєчка і сім'яні канатики без патологічних змін.
Лабораторні дослідження уретральних виділень: лейкоцити покривають все поле зору, поодинокі епітеліальні клітини, гонококи. В посіві виявлені слаборухомі трихомонади і грампозитивні диплококки. Кров: реакції Вассермана і осадові негативні, ШОЕ-5 мм/год, лейкоцитів 5200, лейкоцитарна формула в межах норми.
Після проведеного противогонорейного лікування (біцилін - 1 600 тис. і тетрациклін - 2,0) уретральні виділення припинилися, сеча стала прозорою, але з домішкою ниток і пластівців. При повторному зіскобі зі слизової уретри були знову виявлені трихомонади. Передміхурова залоза і насінні бульбашки без патологічних змін, у секреті залози трихомонади не виявлені.
Уретроскопія (через 6 днів після закінчення противогонорейного лікування): слизова передньої уретри на всьому протязі яскраво-рожевого кольору, центральна фігура неправильної форми, поздовжні складки виражені нерівномірно, уретральні залози без видимих змін.
Клінічний діагноз: гострий передній гонорейний і трихомонадний уретрит.
Гістологічно (біопсія в той же день): набухання і десквамація клітин покривного епітелію. Дифузні інфільтрати з лімфоїдних, плазматичних клітин в підслизовому шарі. Судини розширені і кровенаполнены (рис. 5).

Рис. 5. Гострий гонорейний і трихомонадний уретрит. Набухання і десквамація покривного епітелію. Дифузний інфільтрат у підслизовому шарі. Судини розширені (тут і далі забарвлення гематоксилін-еозином, увХ400).
Хворий С., 36 років, одружений. Гонорею та інші захворювання сечостатевих органів у минулому заперечує. Хворим себе вважає 6 днів. Через 8 днів після зносин з незнайомою жінкою з'явилися незначні виділення з сечовипускального каналу і незначний свербіж.
Об'єктивно: губки зовнішнього отвору уретри злегка набряклі, гіперемовані/. З уретри при натисканні стікає незначна кількість слизово-гнійних виділень. Сеча в першій порції каламутна, з домішкою слизово-гнійних ниток і пластівців, у другій - прозора. Передміхурова залоза, придатки яєчок і сім'яні канатики без патологічних змін.
Лабораторні дослідження уретральних виділень: в нативному препараті виявлені слабо рухливі трихомонади, в полі зору значна кількість лейкоцитів. В посіві - трихомонади, тетрагенный микрококк; гонококи не виявлені. Хворому був призначений флагіл (на курс 5,0).
Уретроскопія (на 5-й день після початку лікування): слизова набрякла, гіперемована, центральна фігура неправильної форми, складки виражені нерівномірно і частково згладжені, є невеликі ділянки з зернистою поверхнею, легко кровоточить; уретральні залози без змін.
Клінічний діагноз: гострий трихомонадний уретрит.
Гістологічно (біопсія на 5-й день після початку лікування): злиття набряклих епітеліальних клітин з дифузним інфільтратом з круглих, плазматичних клітин та поодиноких лейкоцитів у поверхневому шарі підслизової тканини. Судини розширені, кровенаполнены (рис. 6).

Рис. 6. Гострий трихомонадний уретрит. Злиття набряклих епітеліальних клітин. Інфільтрат з круглих плазматичних клітин та поодиноких лейкоцитів у поверхневому шарі підслизової. Судини розширені.
Хворий X., 46 років, одружений. Вважає себе хворим близько двох років. Безуспішно лікувався антибіотиками (пеніциліном, тетрацикліном), З місцевих процедур застосовувалося бужування і промивання уретри, масаж передміхурової залози. Поступив в стаціонар зі скаргами на неприємні відчуття в області заднього проходу, періодичний свербіння в сечовипускальному каналі і статеву слабкість.
Об'єктивно: зовнішні статеві органи добре розвинені. Губки зовнішнього отвору уретри вранці злипаються. Сеча в першій порції мутнувата, з нитками і пластівцями, друга - опалесцирует. Передміхурова залоза дещо збільшена, асиметрична (права частка більше лівої), щільної консистенції. Междолевая борозенка виражена погано, контури залози визначаються. У правій частці промацуються окремі щільні вузли, при пальпації вона злегка болюча. Сім'яні пухирці і куперовые залози не промацуються. Органи мошонки без видимих патологічних змін.
В посіві із зіскрібка слизової уретри виявлені трихомонади і грампозитивні диплококки; гонококи не виявлені. В секреті передміхурової залози (отримана після глибокого промивання уретри): виявлені малорухомі трихомонади, лейкоцити у великій кількості, місцями купки, лецитиновые зерна в незначній кількості.
Уретроскопія (до лікування): незначна набряклість і гіперемія слизової. Є окремі осередки м'якого інфільтрату з зернистою поверхнею. Центральна фігура неправильна і зяє. Поздовжня складчастість нерівномірна. Уретральні залози без видимих змін.
Клінічний діагноз: хронічний трихомонадний уретрит і простатит.
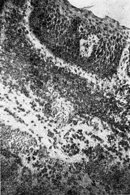
Мікроскопічно (біопсія до лікування): дифузні інфільтрати в підслизовому шарі з круглих, плазматичних клітин та поодиноких лейкоцитів. Значне потовщення і метаплазія покривного епітелію в багатошаровий плоский (рис. 7).

Рис. 7. Хронічний трихомонадний уретрит. Потовщення і метаплазія покривного епітелію в багатошаровий плоский. Інфільтрати в підслизовому шарі з круглих плазматичних клітин та поодиноких лейкоцитів.
Хворий Р., 25 років, неодружений. Гонорею в минулому заперечує. Захворів через 12 днів після зносин з незнайомою жінкою. Вважає себе хворим 3 місяці. До лікаря не звертався, не лікувався. Поступив зі скаргами на періодичний свербіння в сечовипускальному каналі і незначні виділення з уретри вранці.
Об'єктивно: зовнішні статеві органи розвинені добре. Губки зовнішнього отвору уретри набряклі, червонуватого кольору. При натисканні з уретри з'являється слизисто-гнійна крапля. Сеча в першій порції злегка каламутна, зі слизовими нитками і пластівцями, у другій - прозора. У першій порції сечі при культуральном дослідженні уретральних виділень виявлені трихомонади. Гонококи не виявлені. Статеві залози без видимих патологічних змін.
Уретроскопія (до лікування): слизова передньої частини уретри на всьому протязі набрякла, яскраво-червоного кольору. Місцями видно окремі ділянки з зернистою поверхнею. Центральна фігура неправильної форми, поздовжні складки виражені нерівномірно. Уретральні залози без видимих змін.
Клінічний діагноз: підгострий трихомонадний уретрит.
Мікроскопічно (біопсія взята на 6-й день після початку лікування флагилом): нерівномірне потовщення покривного епітелію. Перинуклеарный набряк в клітинах. Невеликі дифузні інфільтрати з лімфоїдних, плазматичних клітин та поодиноких лейкоцитів у підслизовому шарі (рис. 8).

Рис. 8. Підгострий трихомонадний уретрит. Нерівномірне потовщення покривного епітелію. Перинуклеарный набряк в клітинах. Невеликі інфільтрати в підслизовому шарі.
