Вади розвитку. Відсутність печінки (агенезія) спостерігається тільки у аморфних виродків. Гіпоплазія печінки зустрічається дуже рідко, частіше - недорозвинення однієї лівої частки. Вроджена гепатомегалія (значне збільшення обсягу ваги органу), а також подвійна печінка, тобто повне розділення її на дві частки, зустрічаються рідко. Деформація П. з випинанням великих або менших ділянок її спостерігається при вроджених діафрагмальних грижах.
Обмінні порушення і дистрофічні зміни. Порушення білкового і водного обміну у вигляді реакції гепатоцитів на помірно шкідливі фактори прийнято позначати терміном «каламутне набухання» (синонім зерниста, паренхіматозна дистрофія). Реакція ця характеризується збільшенням розмірів гепатоцитів, появою грубої білкової зернистості в цитоплазмі, зменшенням її базофілія, збільшенням вмісту води. Ядра не змінені. Функціональне пошкодження клітин незначне.
![]() Рис. 9. Гидропическая дистрофія печінки. Різко набряклі гепатоцити зі світлою цитоплазмою і центрально розташованим ядром - балонні клітини. |
Гидропическая дистрофія - наростання процесів, властивих мутному набухання, з різким збільшенням води в цитоплазмі. Вода накопичується спочатку в индоплазматическом ретикулумі, потім в решті цитоплазмі. Мікроскопічно в гепатоцитах розріджена цитоплазма, ядро розташована центрально, добре окреслені контури клітин. Частина гепатоцитів, переважно в центрі часточок, перетворюється в балонні клітини (рис. 9). Нерідкі пікноз і кариолиз ядер і некроз балонних клітин. Гидропическая дистрофія, наявність балонних клітин характерні для епідемічного гепатиту.
Ацидофільна дистрофія - втрата цитоплазмою нормальної базофілія, обумовлена зниженням вмісту в ній рибонуклеопротеидов; спостерігається при вірусних інфекціях і при інших умовах.
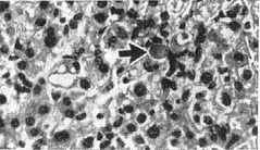
![]() Рис. 10. Эозинофильное тільце Каунсилмена (вказано стрілкою), вытолкнутое з печінковою пластинки синусоїд (х315). |
Ацидофільна коагуляція цитоплазми (гіаліноз) - подальший розвиток ацидофільної дистрофії: цитоплазма ущільнюється, стає гомогенною, інтенсивно фарбуються кислими фарбами. Ядро, спочатку пикнотичное, в подальшому зникає, і клітина виштовхується з печінковою пластинки (рис. 10) у тканинні щілини і синусоїди (еозинофільні тельця або тільця Каунсилмена). При частковій ацидофільної коагуляції в розрідженій цитоплазмі клітин відзначаються гомогенні рожеві грудочки (тільця Маллорі).
При порушеннях жирового обміну ожиріння печінкової клітини буває дрібнозернистим, мелкокапельным і крупнокапельным з заміщенням майже всієї цитоплазми і відтисненням ядра до периферії. Купферовские клітини також нерідко містять жирові краплі. Ожиріння центрів часточок спостерігається при анемії і гіпоксії, при аліментарній недостатності.
Ожиріння периферії часточок - при токсемиях, різних інфекційних захворюваннях, порушеннях обміну, кахексії, отруєннях, а також при аліментарній жирової П. При дифузному ожиріння печінки значно збільшена, жовтого кольору, на розрізі малюнок часточок повністю стертий.
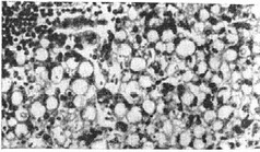
![]() Рис. 11. Крупнокапельное ожиріння гепатоцитів (жир витягнутий) (х 180). |
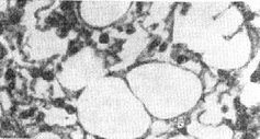
![]() Рис. 12. Жирові кісти в печінці алкоголіка (х230). |
Поверхня розрізу глинистого виду. Мікроскопічно: майже кожна печінкова клітина заповнена жиром, синусоїди здавлені; в одних випадках є крупнокапельное ожиріння (рис. 11), в інших - дрібнокрапельне. З злиття жирових крапель сусідніх клітин утворюються жирові кісти (рис. 12).
Липидозы (первинні) - аномалії ліпідного і липопротеинового обміну, що проявляється в накопиченні ліпідів головним чином у купферовских клітин і гистиоцитах портального тракту, трансформуються в своєрідні пінисті клітини (хвороба Гоше, Німана - Піка хвороба, гаргоилизм, Хенд - Шюллер - Крісчен хвороба).
Порушення вуглеводного обміну в печінці проявляються надмірним накопиченням або збіднінням печінкових клітин глікогеном. Особливо інтенсивне відкладення глікогену в печінкових клітинах спостерігається при гликогенной хвороби. Зменшення кількості глікогену в П. спостерігається при отруєннях, важких інфекційних захворюваннях, голодуванні, посиленій м'язовій роботі. Вроджене порушення вуглеводного обміну - див. Галактоземія. При порушеннях мінерального обміну залізо відкладається в печінкових і купферовских клітинах у вигляді зернистого пігменту гемосидерину, що утворюється при підвищеному розпаді крові (гемолітична хвороба, перніціозна анемія). П. набуває іржаво-коричневий колір. Гемосидерин виявляється в периферичних частинах часточок або при значному вмісті у всій часточці. Посилене відкладення заліза в П. та інших органах - див. Гемохроматоз. Підвищена кількість міді в П. спостерігається у новонароджених і грудних дітей, у вагітних, а також при деяких захворюваннях: гемохроматозі, гепатолентикулярной дегенерації.
Відкладення вапняних солей в печінці спостерігаються рідко чи у вигляді дрібних вапняних метастазів (при кісткових ураженнях, хронічних захворюваннях нирок), або у вигляді вогнищевих дистрофічних звапніння гуми, туберкулов, паразитів, некрозів. Спостерігаються також відкладення вапна в судинах і перипортальных гистиоцитах при універсальному кальцинозе.
Відкладення пігментів у П. спостерігаються дуже часто. Одні з них - гемоглобиногенные пігменти (продукт розпаду еритроцитів) - гемосидерин, гемомеланин, жовчні пігменти, інші - не пов'язані з гемоглобіном: ліпофусцин, меланін.
![]() Рис. 13. Застійне повнокров'я печінки. Атрофія печінкових пластинок до повного їх зникнення. Центральний некроз часточки (X150). |
Некрози П. розрізняють в залежності від локалізації їх всередині часточки. Центральні некрози можуть бути обумовлені токсичними факторами, застійним полнокровием (рис. 13), перешкодами току крові з ворітної вени і печінкової артерії, алергічними факторами та ін.
Интермедиарные некрози зустрічаються при жовтій гарячці, травмах. Периферичні, або перипортальные, некрози зазвичай поєднуються і, можливо, обумовлені запаленням по периферії часточок і в портальному тракті. Масивні некрози характеризуються загибеллю майже всіх печінкових клітин в часточці з залученням в процес великих ділянок або всієї печінки (див. нижче).
![]() Рис. 14. Передній край печінки при бурої атрофії. |
Атрофія печінкових клітин може бути результатом здавлювання їх (пухлина, кіста), а також загальної або місцевої недостатності харчування. Загальна атрофія П. супроводжується відкладенням в клітинах бурого пігменту ліпофусцину (бура атрофія П.). П. зменшена, консистенція ущільнена, поверхню морщиниста; передній край гострий, нерідко шкірястий (рис. 14), колір - від світло-бурого до темно-бурого. Печінкові клітини дрібні, в їх цитоплазмі, особливо в центральних частинах часточок, виявляються скупчення зерен бурого пігменту - ліпофусцину.
Порушення кровообігу. Активна гіперемія П. в умовах патології спостерігається головним чином при гострих інфекційних хворобах (токсичний парез судин).
Застійне (пасивне) повнокров'я печінки найчастіше є результатом підвищення тиску в системі нижньої порожнистої вени у зв'язку з розладом серцевої діяльності. П. збільшена, капсула напружена, передній край тупий, ложе жовчного міхура набряково; на розрізі - підкреслений малюнок часточок. Мікроскопічно: центральні вени і прилеглі капіляри розширені, заповнені кров'ю, печінкові пластинки розсунуті, здавлені, ретикулиновая строма збережена. При підгострому застійному полнокровии П. зменшена, краї її гострі. На розрізі - центр часточок темно-червоний, запалий, периферія - жовто-коричнева (мускатна печінка). Мікроскопічно: печінкові пластинки в центрі часточок атрофовані, іноді до повного зникнення (рис. 13). Хронічне застійне повнокров'я П. супроводжується застійної индурацией (мускатний фіброз печінки). П. щільна, капсула потовщена, ложе жовчного міхура склерозировано. Мікроскопічно: коллагенизация коллабированных ретикулиновых волокон у спустошених (загибель гепатоцитів) центрах часточок; потовщення та склероз центральних вен, портальний фіброз.
![]() Рис. 15. Множинні ішемічні інфаркти печінки при вузликовому періартеріїті (поздовжній розріз). |
Зміни П. при порушеннях кровообігу в системі печінкових вен [звуження просвіту, тромбоз, склероз, облітерація просвіту однієї або декількох галузей (див. Кіарі хвороба)] виражаються у застійному полнокровии з атрофією і загибеллю печінкових клітин (застійний інфаркт П.). Зміни П. при розладі кровообігу в системі ворітної вени залежать від стану печінкової артерії і діяльності серця. Закриття однієї з гілок ворітної вени при ослабленні загального кровообігу і зниженні тиску в печінковій артерії викликає зворотний струм крові з центральних і печінкових вен, переповнення розширених капілярів, атрофію гепатоцитів і освіта різко відокремленого ділянки П. клиноподібної форми темно-червоного кольору, верхівкою клина зверненого до закупореній гілки ворітної вени (атрофічний червоний інфаркт печінки). При тромбозі позапечінкових гілок ворітної вени зміни в П. можуть повністю бути відсутнім при умові хорошої діяльності серця і якщо немає змін у печінковій артерії. Тромбоз внутрішньопечінкових розгалужень ворітної вени і капілярів спостерігається при посттрансфузионных ускладненнях, при еклампсії і супроводжується утворенням геморагічних та анемічних інфарктів. При порушеннях кровообігу в печінковій артерії або її гілок (емболія, тромбоз, вузликовий періартеріїт, метастази раку тощо) виникає ішемічний некроз печінкової тканини, який носить назву «артеріального анемического інфаркту» П. (рис. 15). Такі інфаркти мають вигляд жовтуватих або жовтувато-червоних обмежених ділянок неправильної форми з крововиливами по периферії. В подальшому інфаркт піддається фіброзному перетворення.
Субкапсулярные крововиливи в печінці спостерігаються у новонароджених при родової травми, недоношеність і асфіксія сприяють утворенню подібних гематом; вони досягають іноді великих розмірів, локалізуються частіше на верхній поверхні П. Розрив гематоми з крововиливом у черевну порожнину може стати причиною смерті. Крововиливи у П. виникають при пораненнях, ударах та інших видах травм, що супроводжуються загибеллю печінкової тканини і локалізуються іноді в центральних відділах П. (центральні гематоми) при збереженні зовнішніх шарів печінкової тканини. Крововиливи з капілярів спостерігаються при будь-яких розладах кровообігу у П., при інфекційно-токсичних процесах, при геморагічних діатезах.
Особливо різко виражені розлади кровообігу в печінці при еклампсії, при якій спостерігається поєднання некрозів, тромбозів і крововиливів, надають поверхні розрізу П. дуже строкатий вигляд (цветн. рис. 1).

Рис. 1. Печінка при еклампсії. Рис. 2. Солітарні гуми печінки. Рис. 3. Пилефлебитические абсцеси печінки.
![]() Рис. 4. Міліарні гуми печінки. |
![]() Рис. 16. Набряк печінки. Розширення перисинусоидальных просторів. |
При емболії П. емболи потрапляють в П. по ворітній вені при наявності тромбів в її коренях, по печінковій артерії серця і аорти, з печінковим венах ретроградно з правого передсердя. Набряк печінки - випотівання в перисинусоидальные простору рідини з невеликим вмістом білка (рис. 16). Набряк зумовлений збільшенням проникності капілярів внаслідок аноксії або підвищення венозного тиску.
Запалення печінки може бути негнійним і гнійним. Негнійне запалення підрозділяється на дифузне і осередкове (див. Гепатит).
Гнійні запалення П. обумовлені надходженням в П. гноєродной інфекції, що викликає гнійне розплавлення тканини печінки з утворенням абсцесів (цветн. рис. 3), зрідка - дифузне просочування проміжній тканині П. з виникненням флегмони. Шляхи проникнення інфекції - гематогенний, через позапечінкові жовчні протоки і по зіткненню (з сусідніх органів). При гематогенному поширенні найбільш частий шлях - ворітна вена. Зазвичай джерелом абсцесів П. служать виразкові процеси в шлунково-кишковому тракті: дизентерійні виразки товстої кишки (bacillary дизентерія та амебіаз кишки), тифозні виразки клубової кишки, флегмонозний і гангренозний апендицит, виразковий проктит, флегмонозний парапроктит, виразки шлунка, дванадцятипалої кишки (рідше), флегмона шлунка, гнійний панкреатит, гнійний лімфаденіт брижі, гнійний умбилицит. Менш частий шлях поширення гноєродной інфекції - через печінкову артерію (при виразковому ендокардиті, септикопиемиях різного походження). Найбільш рідкісний шлях - ретроградний, через печінкову вену (при гнійних процесах в мозку, в середньому вусі).
При поширенні інфекції через позапечінкові жовчні протоки (з жовчного міхура, кишечника) розвиваються внутрішньопечінковий гнійний холангіт та холангитические абсцеси П. (див. Холангіт, патологічна анатомія). При розповсюдженні по зіткненню перехід гнійного процесу на П. відбувається з сусідніх органів: з плеври, легень, підшлункової залози, правої нирки, шлунка, дванадцятипалої кишки. Гнійне запалення та абсцеси печінки виникають також при паразитарних захворюваннях П. (див. нижче).
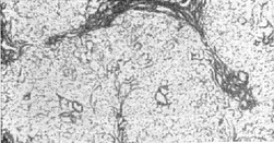
![]() Рис. 17. Портальний фіброз часточки (імпрегнація сріблом за Футу; х150). |
Фіброз - збільшення кількості сполучної тканини у П. - відбувається за рахунок коллагенизации предсуществующих пошкоджених і коллабированных аргірофільних волокон, а також внаслідок новоутворення сполучнотканинних структур з фібробластів. На відміну від цирозу печінки (див.), фіброз не супроводжується ні вузловий регенерацією П., ні глибокої і дифузної перебудовою П. та її судин. По розповсюдженню фіброз може бути вогнищевим або дифузним, по локалізації - центральним або портальних (рис. 17). Фіброз печінки - репаративний процес, що розвивається на місці інфільтратів і гранульом різного походження, на місці абсцесів, некрозів, гуми тощо
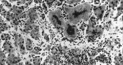
![]() Рис. 18. Гігантські багатоядерні симпласты при затяжному гепатиті (X 300). |
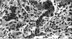
![]() Рис. 19. Освіта pseudotubuli (1) з печінкових клітин (х 550). |
Регенерація П. Характер регенераторних процесів у П. залежить від ступеня її пошкодження. При розсіяних некрозах окремих печінкових клітин відновлення відбувається за рахунок розмноження шляхом кариокинетического і прямого розподілу. Внутридольковая регенерація при значному пошкодженні печінкових клітин, але при збереженні структури часточок відбувається також за рахунок кариокинетического і прямого поділу клітин, однак відрізняється від фізіологічної регенерації тим, що при цьому формуються печінкові пластинки товщиною не в одну клітку, як в нормі, дві клітини і більше (повернення до эмбриональному типом будови часточки). Значно збільшуються ядра печінкових клітин, вони стають гиперхромными, збільшується кількість ядерець; звичайні двоядерні клітини; часто спостерігається утворення симпластов (рис. 18) у результаті бурхливо протікає регенерації печінкових клітин з неповним прямим діленням. Якщо зміни паренхіми локалізуються поблизу портального тракту, викликаючи руйнування прикордонної платівки та порушуючи зв'язок між жовчними прекапиллярами і жовчними протоками, то по периферії часточки утворюються епітеліальні тяжі і трубочки, відомі під назвою pseudotubuli. Ряд даних свідчить про їх походження з печінкових клітин (рис. 19).
В умовах загибелі паренхіми печінки групи печінкових клітин, що відокремилися від решти паренхіми або вцілілі від загибелі, можуть регенерувати, обростаючи капілярами, ретикулярної стромою, утворюючи вузли регенератів. Вузли регенератів виникають також при масивних і субмассивных некрозах П. з решти частин часточок шляхом новоутворення печінкових клітин, ретикулярної строми, синусоидов і навіть портального тракту, а також з частин печінкових часточок, розділених врастающими у часточку перегородками, що з'єднують центральні та портальні вени. Численні спостереження свідчать про швидке відновлення початкової маси і функції П. у людини навіть при видаленні більшої частини її. Регенерація відбувається в збереженій частині П. за рахунок гіперплазії і гіпертрофії гепатоцитів.
Гіпертрофія гепатоцитів супроводжується внутрішньоклітинними гіперпластичними процесами, що підвищують енергетичні можливості клітин. Це і ряд спостережень інших дослідників дали підставу Д. С. Саркісову виділити відновні процеси в ультраструктурах клітин, зокрема гепатоцитів (1964), в самостійний вид репаративного процесу, названого їм «внутрішньоклітинної» формою регенерації.
Їжа, багата білками, нуклеїновими кислотами, а також вітамін В12 сприяють процесам регенерації. Велике значення має також кількість крові, що циркулює в портальній вені, і її тиск. Молодий вік і деякі гормональні впливу (екстракт щитовидної залози, кортикостероїди) стимулюють процеси регенерації. Фактором, що гальмує регенераторні процеси, є застій жовчі в печінці. Регулююча роль як при фізіологічній, так і при репаративної регенерації належить ЦНС Експерименти з парабионтами виявляють також регулюючу роль гуморальних факторів - чинників зростання печінкової тканини, що містяться в самій П.
Кровотворення в печінці. При постгеморагічних анеміях, поширених остеосклерозах, злоякісному недокрів'ї, при деяких інфекційних хворобах (наприклад, при скарлатині, туберкульозі, отруєннях) в П. відзначаються осередки екстрамедуллярного кровотворення.
При лейкозах в печінці спостерігаються лейкемічні інфільтрати різної інтенсивності.
При лімфогранулематозі печінка збільшена: у ній визначаються біло-сірі вузлові або смугасті розростання.
Посмертні зміни. Зіставлення гістологічної картини П. у біопсіях з такою на розтинах виявляє ряд змін, пов'язаних з агональным періодом і з посмертним аутолизом: гіпоксія в агональном періоді сприяє скупченню білкової рідини в просторах Дисс; при тривалій агонії запаси глікогену швидко втрачаються (виявлення глікогену свідчить про швидкої смерті); у посмертному періоді внаслідок починається протеолізу може наступити мутне набухання печінкових клітин, дискомплексация печінкових пластинок, погана забарвлювання ядра і цитоплазми, кариорексис. При посмертному проникненні в П. мікроорганізмів по ворітній вені і по жовчних шляхах настає трупне розкладання. П. в'яла, край і нижня поверхня її, прилеглі до петель товстих кишок, зеленувато-бурого кольору внаслідок утворення сірчистого заліза.












