Вроджений сифіліс виникає при внутрішньоутробному зараженні плода від хворої матері. Трепонеми проникають через плаценту.
Розрізняють вроджений сифіліс плода, грудного віку, раннього дитячого віку (від 1 року до 4 років) і пізній (від 5 до 17 років).
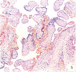
![]() Рис. 5. Сифіліс плаценти з милиарными гума. |
При природженому сифілісі плода плацента, як правило, великих розмірів, має специфічні зміни. Якщо зараження плода відбувається на V-VI місяці, можуть настати передчасні пологи. Плід народиться мертвим, мацерірованного, з ураженням печінки, селезінки, легенів. При зараженні матері в останні місяці вагітності ознаки сифілісу у дитини можуть з'явитися через кілька тижнів, а позитивна реакція Вассермана - на 3-му місяці життя.
Сифіліс грудного віку. Дитина має страдницький вигляд, блідо-сірий колір шкіри, неспокійний. Відзначають млявість смоктання, слабке наростання ваги, пітливість, безпричинне підвищення температури і розлад травлення. Сифілітична пухирчатка, на відміну від пухирчатки новонароджених (див. Піодермія у дітей), виявляється при народженні або в перші дні життя і локалізується переважно на підошвах і долонях, де з'являються міхури величиною від горошини до вишні на запаленому підставі, наповнені серозно-гнійною або геморагічної рідиною з великою кількістю блідих трепонем. При розтині бульбашок утворюються ерозії, епітелізіруются по мірі розсмоктування інфільтрату (рис. 7).

Рис. 1. Дифузна інфільтрація особи та тріщини на губах (хлопчик 6 тижнів). Рис. 2. Різко впала перенісся, сідлоподібний ніс, рубці на губах і інфільтрація Гохзінгера (хлопчик 8 тижнів). Рис. 3. Поверхневі тріщини на губах, ранка біля правого кута рота і рубець біля лівого кута (дівчинка 2,5 міс.). Рис. 4. Папульозний висип, ерозивні папули на обличчі і шиї (дівчинка 2,5 років). Рис. 5. Пластинчасте лущення на підошві після дифузної інфільтрації шкіри (дитина 5 тижнів). Рис. 6. Плямисто-папульозний висип (хлопчик 8 днів). Рис. 7. Сифілітична пухирчатка (хлопчик 5 днів).
Дифузне ущільнення шкіри (інфільтрація Гохзінгера) зустрічається у 60-65% хворих на 8-10-му тижні життя. На обличчі, волосистій частині голови, сідницях, підошвах і долонях шкіра інфільтрована, має буро-червоний колір, блищить. Губи потовщені, набряклі, з тріщинами (рис. 2). Навколо рота на все життя залишаються рубці, які мають значення для діагнозу. Інфільтрація волосистої шкіри голови, вій і брів закінчується випаданням волосся. На 4-8-му тижні життя на обличчі, зовнішньої поверхні кінцівок і підошвах може з'явитися папульозний висип коричнево-червоного кольору, різко відмежована від навколишньої шкіри.
Порівняно частий симптом - сифілітичний нежить: з народження дитини закладений ніс, потім з'являються слизисто-гнійні або сукровичні виділення, зсихаються в кірки. Дихання різко утруднене, смоктання неможливо. У запущених випадках може наступити руйнування хрящової перетинки носа і твердого неба (сідлоподібний ніс, готичне небо). При ураженні гортані голос хрипкий, афонічний. Кісткові зміни - див. Остеохондрит. Періостит.
Майже завжди вражені печінка і селезінка, вони збільшені, щільні, з гладкою поверхнею. Живіт роздутий, можливі асцит і жовтяниця. В легенях - дифузне розростання сполучної тканини в окружності альвеол і дрібних судин - так звана біла пневмонія (pneumonia alba), яка проявляється ціанозом, задишкою, носить затяжний характер, схильна до утворення абсцесів. Можливе ураження нирок, шлунково-кишкового тракту, ЦНС (менінгіт, гідроцефалія), серця (ендоміокардит).
Сифіліс раннього дитячого віку. Переважаючий симптом - кондиломи заднього проходу. На шкірі можливі щільні вузли (гуми) і мокнучі папули в складках. Часто випадає волосся, уражаються кістки, яєчка. Поразка ЦНС. виражається розумовою відсталістю, атрофією зорового нерва, епілепсією, менінгітом. В мозку можуть спостерігатися гуми.
Пізній природжений сифіліс - це рецидив перенесеного в ранньому дитинстві і недостатньо леченного сифілісу. Ознаки пізнього вродженого сифілісу ділять на дві групи: достовірні і ймовірні. До достовірним відносять тріаду Гетчінсона: зуби бочкоподібної форми з напівмісячної виїмкою по жувальному краю (гетчінсоновскіе зуби), кератит (див.), глухота в результаті ураження лабіринту. До імовірних ознак відносять: шаблеподібний гомілки, зміна форми черепа - долихоцефалический череп, високі віскі, готичне піднебіння, відсутність мечоподібного відростка та ін. Можливі сіфіліди на шкірі (гуми, горбики), ураження печінки, селезінки, серцево-судинної та ендокринної систем; розлад нервової системи - порушення мовлення, розумова відсталість.
Дитина з активними проявами сифілісу на шкірі і слизових оболонках заразний для дітей і дорослих, тому при догляді за ним персонал повинен працювати в гумових рукавичках, дезінфікувати руки. Про всіх дітей, хворих раннім вродженим сифілісом, необхідно повідомляти в дитячі консультації за місцем проживання.
При підозрі на природжений сифіліс необхідно направити кров дитини на серологічні реакції. Хворого поміщають для лікування в стаціонар венерологічного диспансеру. Прогноз серйозний, але систематичне лікування з 1-го міс. життя може привести до повного одужання.
Лікування. Дитина з вродженим сифілісом потребує хорошому догляді, правильному вигодовуванні і режимі, вітамінотерапії. При терапії застосовують пеніцилін і його препарати (экмоновоциллин, біцилін). Дітям, які не можуть отримувати ін'єкції, призначають феноксипенициллин в подвоєних дозах. При наявності змін в спинномозковій рідині та органах зору дозу пеніциліну збільшують на 20%, а дітям старше 6 місяців, крім пеніциліну, призначають препарати вісмуту. Кількість курсів: при ранньому природженому сифілісі - 6, при пізньому - 8, при профілактичному лікуванні - 3. Інтервали між курсами - 2 тижні, при додатковому застосуванні препаратів вісмуту - 1 міс. Доза пеніциліну залежить від ваги і віку дитини згідно інструкції 1968 р.
Для попередження бурхливої реакції організму на введення пеніциліну, небезпечної для ослаблених дітей, протівосіфілітіческое лікування починають (1-й курс) з мінімальної дози (2500-5000 ОД кожні 4 години) пеніциліну, збільшуючи її протягом 8-12 днів до повної добової. Біцилін застосовують дітям старше 2 років тільки на повторних курсах (доза 300 000 ОД на добу).
Профілактичне лікування проводять дітям, що народилися від матерів, хворих на сифіліс, які раніше не лікувалися або лікувалися недостатньо, навіть при відсутності у дітей клінічних і серологічних симптомів. По закінченні лікування діти залишаються під наглядом диспансеру протягом 5 років. З настанням статевої зрілості вони підлягають клініко-серологічному обстеженню.

