Метапластичні теорії походження ендометріозу, засновником яких є Н. С. Іванов (1897), мали багато прихильників [Улезко-Строганова К. П., 1925; Тимофєєв А. В., 1926; Meyer R., 1903, 1925; Novak Е., 1926; Enzer N., 1930; Lauche A., 1933; Heim K., 1959, та ін]. Згідно з цими теоріями, ендометріоз розвивається в результаті метаплазії ембріональної очеревини або целомического епітелію. Прихильники теорії допускали можливість перетворення в эндометриоподобную тканина ендотелію лімфатичних судин, мезотелия плеври, епітелію канальців нирок і інших тканин. Подібне перетворення, на їх думку, відбувається під впливом гормональних порушень, хронічного запального процесу механічної травми. Тривалий час ці теорії вважалися основними, але потім втратили своє значення. Цьому сприяли роботи Н. Р. Хлопіна (1935, 1946), який стверджував, що мезотелій очеревини являє собою цілком детерміновану різновид епітеліальної тканини, не здатна перетворюватися в інші види тканини.
Проте з'явилися в останні роки повідомлення про розвиток ендометріозу у чоловіків, які тривалий час лікувалися естрогенними гормонами, певною мірою можуть сприяти реабілітації метапластических теорій.
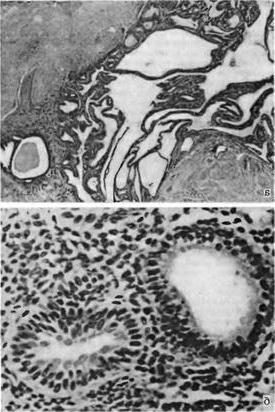
![]() Рис. 4. Ендометріоз м'язової стінки сечового міхура чоловіка.
Гістологічний препарат по A. Olikcr, A. Harris, 1971; а - мале збільшення, б - велике збільшення.
|
У №71 р. A. Oliker, A. Harris опублікували спостереження ендометріозу сечового міхура у чоловіка, який переніс операцію радикальної промежинної простатектомії з приводу карциноми її. Пацієнт був кастровано і протягом 11 років лікувався естрогенними гормонами, після чого у нього з'явилася гематурія. При цистоскопії на правій стінці сечового міхура була виявлена пухлина близько 1 см в діаметрі. Гістологічне дослідження биопсироваиного матеріалу виявило разючу подібність з ендометріальною тканиною? Хворий продовжував отримувати естрогенні гормони, гематурія повторювалася неодноразово. Проведена сегментарна резекція сечового міхура. У віддаленому ділянці сечового міхура виявлені макроскопічні (кістозні порожнини з темною кров'ю) і гістологічні ознаки ендометріозу (рис. 4). Під час резекції сечового міхура брюшностеночным доступом у пацієнта ніяких рудиментів жіночих статевих органів виявлено не було. Автори вважають, що метаплазії ембріональних залишків (мабуть, мюллеровского рудименту, наявного у всіх чоловіків) сприяло тривале лікування естрогенами.
До зазначеної публікації М. Melicow, М. Pachter (1967) вперше повідомили про карциномі мішечка простати ендометріального будови у чоловіка, який не був гермафродитом, що підтверджено ухвалою статевого хроматину і за іншими тестами. На думку авторів, эндометриальная карцинома розвинулася в мішечку простати, який є мюллеровским рудиментом.
М. Melicow, М. Tannenbaum (1971) повідомили ще про 5 подібних спостереженнях у чоловіків у віці від 61 до 76 років.
Цілеспрямоване вивчення клінічного матеріалу і гістологічних препаратів, отриманих від чоловіків, оперованих з приводу пухлини простати та сечового міхура і тривало лікувалися естрогенними препаратами, може внести певну ясність у метапластичні теорії походження ендометріозу.
Проте, з нашої точки зору, розвиток ендометріозу сечового міхура у чоловіків більш правильно розцінювати як підтвердження справедливості ембріональної теорії і патогенетичну роль гормонального чинника у походження ендометріозу.
Багато питань патогенезу ендометріозу остаточно не з'ясовані. Тим не менш роль змін метаболізму і режиму статевих гормонів, зумовлених порушенням центральної регуляції гииоталамо-гіпофізарно-яєчникових взаємин, в патогенезі аналізованій патології не викликає сумнівів.
Ж. Н. Бєляєва (1976) при вивченні екскреції естрадіолу, естрону та естріолу встановила високий рівень естрону у хворих ендометріозом порівняно з таким у здорових. Крім того, було виявлено, що екскреція естрогенів при ендометріозі, як правило, не має класичної циклічності і носить безладний характер. Може бути, в цьому криється одна з причин неоднакових клінічних проявів у різні менструальні цикли.
Системі цАМФ і цГМФ належить важлива роль у реалізації дії статевих гормонів. Л. Ф. Шинкарьова і співавт. допускають зв'язок зниження рівня нуклеотиду в лютеїнову фазу з наявною у більшості хворих недостатністю функції жовтого тіла.

