При дослідженні легенів застосовуються розпитування, огляд, обмацування (пальпація), выстукивание (перкусія), вислуховування (аускультація), а також лабораторно-інструментальні методи (дослідження мокротиння, рентгенологічне дослідження і вивчення функції зовнішнього дихання).
При розпитуванні звертають увагу на перенесені в минулому захворювання, умови в побуті, на виробництві, шкідливі звички (куріння), на наявність кашлю (сухий, з мокротою, час настання, сталість, інтенсивність тощо), мокротиння (колір, запах, консистенція тощо), кровохаркання, задишка, больових відчуттів у грудях (локалізація, характер болю, зв'язок з актом дихання тощо).
Огляд грудної клітки проводять в положенні обстежуваного спочатку особою, потім спиною до студіює, краще сидячи або стоячи. При цьому виявляють форму грудної клітки (нормастеническая, гіперстенічна, астенічна, бочкоподібна, або эмфизематозная, паралітична, або плоска, рахитическая та ін), її зміни, асиметрії (вибухання, западання), рівномірність участі її частин у дихальних рухах, визначають частоту і ритм дихання. Відставання однієї половини грудної клітки від іншої при диханні можуть зумовити захворювання плеври, легень, переломи ребер, міжреберна невралгія і т. п. Випинання однієї половини грудної клітки спостерігається при скупченні рідини або повітря в плевральній порожнині. Западіння всій половини грудної клітки або окремих її ділянок може бути в результаті рубцующихся процесів в легеневій тканині, змін плеври.
Частота дихання здорової людини 16 в 1 хв., при патологічних станах (лихоманка, захворювання серцево-судинної системи та ін) воно нерідко частішає. Дихальний акт може бути змінено за рахунок збільшення тривалості вдиху або видиху (наприклад, при бронхіальній астмі та ін).
Пальпація грудної клітки дозволяє виявити болючі точки (захворювання плеври), іноді шум тертя плеври, голосове тремтіння (див.).
Перкусія дає можливість визначити нижні межі легень, рухливість легеневих країв, наявність порожнин, ділянки ущільнення легеневої тканини та ін.
При вислуховуванні легень виявляють дихальні шуми (див.).
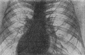
![]() Рис. 2. Рентгенограма грудної клітини в нормі. Пряма (передня) проекція. |
При лабораторно-інструментальному обстеженні досліджують мокротиння (див.), проводять рентгеноскопію, рентгенографію (рис. 2), бронхографию (див.), флюорографію (див.) в залежності від показань.
З метою виявлення функціональних можливостей апарату зовнішнього дихання по доставці в організм необхідної кількості кисню застосовують ряд спеціальних методів дослідження. Найбільш доступними з них є визначення життєвої ємності легень (див.) методом спірометрії (див.), насичення артеріальної крові киснем методом оксигемометрии (див.) і бронхіальної прохідності пневмотахометром Вотчала.
Найбільш частими симптомами захворювань легень є кашель (див.), задишка (див.), кровохаркання (див.) і біль в області грудної клітини. Остання спостерігається при її травмі, плевриті, частіше сухому, міжреберної невралгії, міозиті. Раптово наступила інтенсивна біль у грудній клітці може вказувати на появу мимовільного пневмотораксу (див.) або емболію легеневих судин.
Ядуха (раптово наступають напади важкої задишки) зустрічається при захворюваннях легенів і серця. У цих випадках хворі воліють сидяче і напівсидяче положення (див. Ортопное). Рідше спостерігаються крововиливи - скупчення крові, що вилилася із судин малого кола, - у тканину легені. Значні скупчення крові, оточені щільними тканинами у вигляді капсули, називають гематомами, дифузне просочування тканин еритроцитами - геморагічною інфільтрацією. На місці вилилась крові в тканинах легені нерідко починається запальний процес.

